La Universidad de Kioto logra crear células madre embrionarias para su uso en la medicina regenerativa
Noticias
Ciencia Tecnología- English
- 日本語
- 简体字
- 繁體字
- Français
- Español
- العربية
- Русский
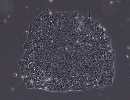
Kioto, 22 de mayo (Jiji Press)— Investigadores de la Universidad de Kioto anunciaron el martes que han logrado producir células madre embrionarias que podrían ser utilizadas en la medicina regenerativa por primera vez en Japón.
Los investigadores, entre los que se encuentra Suemori Hirofumi, profesor asociado del Instituto de Ciencias Médicas Avanzadas, planean cultivar y conservar células madre embrionarias con la esperanza de poder ofrecerlas a partir de julio a los centros de investigación que están llevando a cabo estudios clínicos.
Las células madre embrionarias tienen el potencial de transformarse en distintos tipos de tejido al igual que las células madre pluripotentes inducidas, o células iPS.
El uso de células madre embrionarias en Japón se limitaba hasta ahora a investigaciones básicas debido a cuestiones éticas, ya que estas células son creadas mediante la destrucción de óvulos fertilizados.
Por el momento las células madre embrionarias han sido utilizadas en numerosos ensayos clínicos en otros países.
[Copyright The Jiji Press, Ltd.]